Çalışma Saatlerimiz
- Haftanın tüm günleri
09:00 – 24:00
İletişim
-
Tel: +9(0212) 597 0 333
GSM: +9(0542) 283 64 72
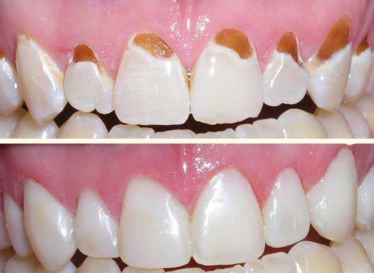
Estetik Dolgu

Çürük veya aşınma sebebiyle yapısı bozulmuş dişleri onarmak için kullanılan yöntemlerin ilki estetik (kompozit) dolgulardır. Kompozit dolgular; dişler gibi beyaz olduğundan ve ışınla sertleştirildiğinden ışınlı dolgu olarak da isimlendirilebilir. Bu dolgular dayanıklı olmalarından dolayı hem ön hem de arka dişlerde uygulanabilir.
Estetik dolguların dişlere ve diş etlerine herhangi bir zararı yoktur. Doğal görünmeleri, her yaştaki hastaya uygulanması ve kısa sürede tek seansta uygulanmaları büyük bir avantajdır. Dişlerde en az aşındırma yapılarak uygulandıklarından, diş dokusunun korunmasına yardımcı olurlar. Bu yüzden güvenle kullanılabilirler.
